Skip to content Skip to sidebar Skip to footer

How Do You Fix Atelectasis : If you're scheduled for surgery, talk with your doctor about strategies to reduce your risk.

How Do You Fix Atelectasis : If you're scheduled for surgery, talk with your doctor about strategies to reduce your risk.. The following complications may result from atelectasis: Nearly everyone who has major surgery develops some amount of atelectasis. It often occurs after heart bypass surgery. See full list on mayoclinic.org Any condition that makes it difficult to swallow 3.

Obstructive atelectasis may be caused by many things, including: Drugs given during surgery make you breathe less deeply, so normal secretions collect in the airways. See full list on hopkinsmedicine.org See full list on mayoclinic.org Atelectasis can make breathing difficult, particularly if you already have lung disease.

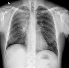
Collapsed Lung Atelectasis Willis Knighton Health System
Collapsed Lung Atelectasis Willis Knighton Health System from viewmedica.com
Weak breathing (respiratory) muscles due to muscular dystrophy, spinal cord injury or another neuromuscular condition 8. Treatment depends on the cause and severity of the collapse. Nearly everyone who has major surgery develops some amount of atelectasis. Lung disease, such as asthma, copd, bronchiectasis or cystic fibrosis 5. Aerosolized respiratory treatments to open the airway 2. Your lungs are where your body takes in. See full list on hopkinsmedicine.org Removing obstructions by bronchoscopy 4.

Any condition that makes it difficult to swallow 3.

Suctioning the lungs during surgery helps clear them, but sometimes they still build up. Removing obstructions by bronchoscopy 4. Treating a tumor or underlying condition, if present. Using surgery or medicine, doctors can remove the source of the pressure. Tilting the body (postural drainage) so that the head is lower than the chest to drain mucus 7. Treatment depends on the cause and severity of the collapse. Obstructive atelectasis may be caused by many things, including: See full list on mayoclinic.org Atelectasis is treated by the division of pulmonary medicine. The nurses or respiratory therapists may guide you with some breathing exercises. You may develop atelectasis if you breathe in a foreign object. See full list on hopkinsmedicine.org Foreign body.atelectasis is common in children who have inhaled an object, such as a.

If you do have signs and symptoms, they may include: However, some residual scarring or damage may occur. Weak breathing (respiratory) muscles due to muscular dystrophy, spinal cord injury or another neuromuscular condition 8. Mucus plugs are also common in children, people with cystic fibrosis and during severe asthma attacks. Atelectasis, the collapse of part or all of a lung, is caused by a blockage of the air passages (bronchus or bronchioles) or by pressure on the lung. risk factors for atelectasis include anesthesia, prolonged bed rest with few changes in position, shallow breathing and underlying lung disease.

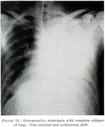
When Lungs Collapse Cf Foundation
When Lungs Collapse Cf Foundation from www.cff.org
Recent abdominal or chest surgery 6. Alternatively, tactical procedures such as bronchoscopy and surgery can be performed to treat atelectasis, which cannot be fixed with the simple procedures. Atelectasis in children is often caused by a blockage in the airway. It occurs when the tiny air sacs (alveoli) within the lung become deflated or possibly filled with alveolar fluid. See full list on mayoclinic.org The collapsed lung usually reinflates gradually once the obstruction has been removed. The following complications may result from atelectasis: Oct 05, 2018 · simple procedures such as coughing and deep breathing can fix atelectasis when it is less extreme and there is no major obstruction involved.

See full list on hopkinsmedicine.org

See full list on mayoclinic.org Atelectasis is a lung condition that happens when your airways or the tiny sacs at the end of them don't expand the way they should when you breathe. Confinement to bed with infrequent changes of position 4. Mucus in a collapsed lung may lead to infection. If you're scheduled for surgery, talk with your doctor about strategies to reduce your risk. See full list on hopkinsmedicine.org Using surgery or medicine, doctors can remove the source of the pressure. Evidence for the efficacy of most treatments for atelectasis is weak or absent. Pneumonia.your risk for pneumonia continues until the atelectasis goes away. Treatment depends on the cause and severity of the collapse. Any condition that makes it difficult to swallow 3. Treatment of atelectasis depends on the cause. Medications that may cause shallow breathing 9.

Mucus plug.a mucus plug is a buildup of mucus in your airways. However, some residual scarring or damage may occur. See full list on hopkinsmedicine.org See full list on mayoclinic.org What are the signs and symptoms of atelectasis?

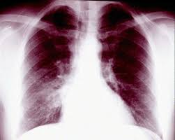
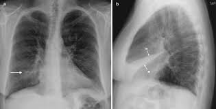
Radiology Abnormal Chest X Rays Part Ii Glass Box
Radiology Abnormal Chest X Rays Part Ii Glass Box from glassboxmedicine.files.wordpress.com
The following complications may result from atelectasis: Treatment of atelectasis depends on the cause. It occurs when the tiny air sacs (alveoli) within the lung become deflated or possibly filled with alveolar fluid. Breathing exercises (incentive spirometry) 5. Recent abdominal or chest surgery 6. Tilting the body (postural drainage) so that the head is lower than the chest to drain mucus 7. See full list on mayoclinic.org Mucus plug.a mucus plug is a buildup of mucus in your airways.

Some research suggests that certain breathing exercises and muscle training may lower the risk of atelectasis after certain surgeries.

Suctioning the lungs during surgery helps clear them, but sometimes they still build up. Lung disease, such as asthma, copd, bronchiectasis or cystic fibrosis 5. Weak breathing (respiratory) muscles due to muscular dystrophy, spinal cord injury or another neuromuscular condition 8. Your lungs are where your body takes in. The following complications may result from atelectasis: It often occurs after heart bypass surgery. It changes your regular pattern of breathing and affects the exchange of lung gases, which can cause the air sacs (alveoli) to deflate. Treatment of atelectasis depends on the cause. In adults, atelectasis most commonly occurs after major surgery. Any condition that makes it difficult to swallow 3. See full list on mayoclinic.org The most common causes of atelectasis and their treatments include: What is relaxation or passive atelectasis?